Adam Rainer: Satu-satunya yang Dijuluki Kerdil dan Raksasa Sekaligus

Hanya sedikit yang diketahui dari kehidupan Adam Rainer. Namun ia diketahui merepresentasikan sejarah medis yang spektakuler. Adam Rainer lahir di Graz, Austria pada tahun 1899 dan seiring ia bertumbuh serta menjadi dewasa, orang-orang dapat jelas menyaksikan bahwa tingginya di bawah rata-rata orang pada umumnya.
Pada tahun 1920, saat ia berusia 21 tahun, ia berdiri tegak hanya setinggi 3 kaki dan 105 inchi (118 cm). Tim medis menglasifikasikan dirinya sebagai orang kerdil/kurcaci.
1. Adam Rainer yang awalnya hanya setinggi 118 cm tiba-tiba mengalami pertumbuhan dengan cepat menjadi 218 cm pada usia 32 tahun

Namun suatu hari di awal abad 20-an, Rainer mengalami kejadian yang gak diduga soal perkembangan fisiknya. Saat ia menginjak usia ke-32, ukuran tubuh pendeknya yang di bawah 4 kaki tiba-tiba meningkat menjadi 7 kaki 2 inci (218 cm). Pertumbuhan berkesinambungan yang menakjubkan ini—sekitar 3,6 inci per tahun (9 cm)—mengakibatkan tubuhnya lemah dan dengan cepat menjadikannya gak berdaya di atas kasur.
2. Malfungsi dari organ Rainer dan pertumbuhan yang gak terkendali menyebabkan ia menjadi lemah serta gak mampu lagi berdiri sendiri

Sepertinya sekresi dari kelenjar pituitary-nya—kelenjar yang bertanggung jawab atas hormon pertumbuhan badan—berkembang dari sedikit menjadi "membanjir" setelah ultahnya yang ke-21.

Organ yang malfungsi menyebabkan tubuhnya mencurahkan semua sumber daya di dalamnya untuk pertumbuhan yang gak terkendali, menyebabkan ia makin lemah dan gak mampu berdiri.
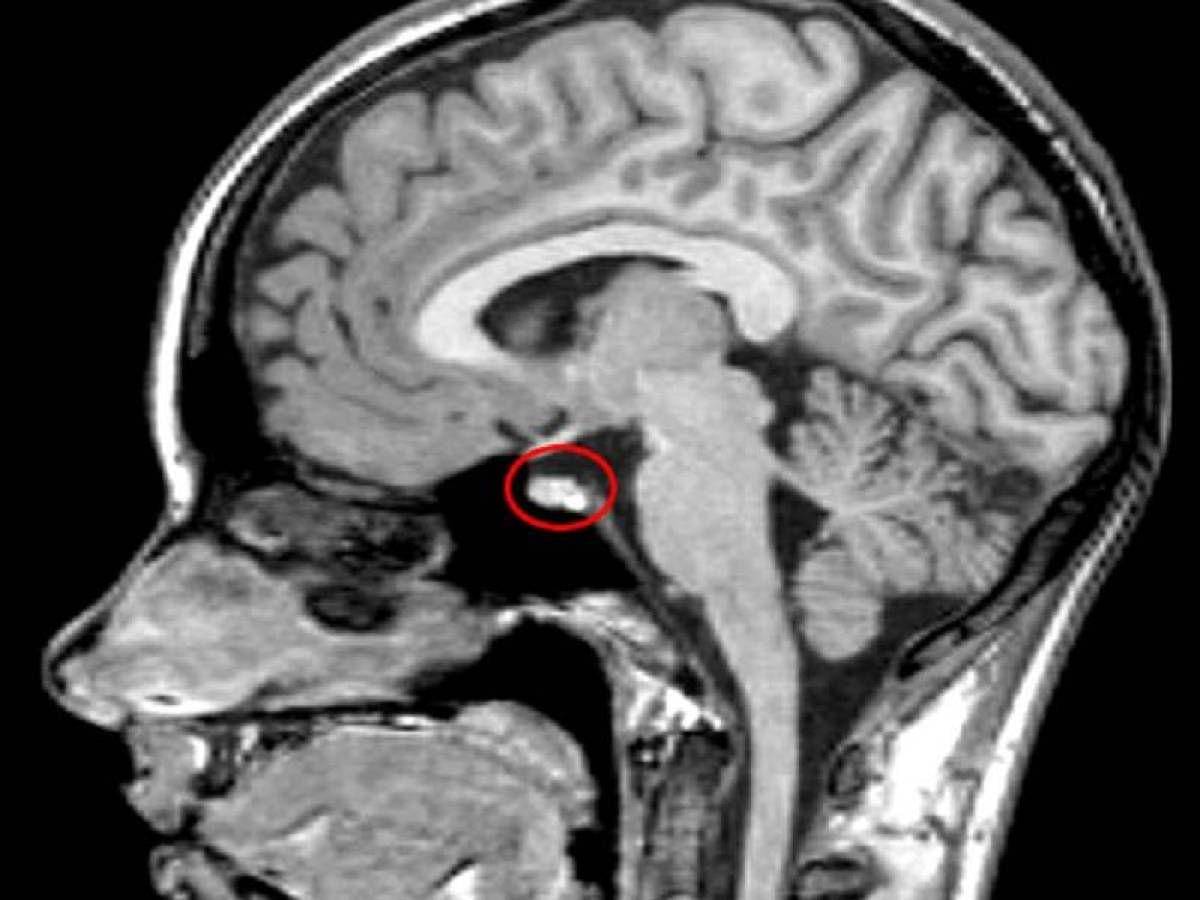
3. Tim medis dan ahli bedah otak berusaha menemukan penyebab utama dari pertumbuhan gak terkendali yang dialami oleh Rainer

Pada Desember 1930, ketika Rainer berusia 31 tahun, seorang ahli bedah otak menganestesi Rainer secara lokal dan menaruh suatu alat ke dalam hidungnya, untuk memperoleh akses ke kelenjar pituitary-nya, sebuah struktur kecil yang berlokasi di daerah yang susah dijangkau dalam otak.
4. Sebuah tumor jinak ditemukan di kelenjar pituitary. Bisa ditangani, namun sudah banyak kerusakan yang terjadi

Ahli bedah tersebut menemukan eosinophilic adenoma, sebuah tumor jinak yang menekan bagian pituitary tersebut. Prosedur ini secara drastis memperlambat pertumbuhan Rainer, tapi telah banyak kerusakan tubuh yang sudah telanjur terjadi.

Adam Rainer menghabiskan sisa hari-harinya dengan gak bisa berdiri sendiri. Ia kemudian diletakkan di panti jompo di mana ia harus melanjutkan hidup dengan kondisinya yang memprihatinkan sampai ia meninggal pada tanggal 4 Maret 1950 di usia 51 tahun. Di akhir hidupnya, ia diukur dan diketahui tingginya 7 kaki 8 inchi (234 cm), dua kali tingginya saat ia di usia 21 tahun. Dalam hidupnya, ia menjadi manusia tertinggi di Austria.
Hingga hari ini, Adam Rainer adalah satu-satunya orang dalam sejarah medis yang diklasifikasikan kerdil dan raksasa sekaligus. Hingga detik ini, kejadian seperti yang dialami Adam Rainer belum pernah diketahui terjadi lagi.



















