- Terlalu sedikit oksigen dalam darah ibu sebelum dan selama persalinan.
- Jalan napas bayi tidak terbentuk dengan baik atau tersumbat.
- Terdapat masalah dengan tali pusar.
- Infeksi serius pada ibu atau bayi.
- Tekanan darah ibu terlalu tinggi atau rendah.
- Proses persalinan sangat lama.
- Bayi mengalami anemia.
- Rahim melepaskan plasenta terlalu cepat.
5 Masalah Otak yang Umum Dialami Bayi Prematur

Bayi prematur didefinisikan sebagai bayi yang lahir sebelum usia kehamilan 37 minggu. Banyak bayi prematur yang mengalami masalah atau gangguan kesehatan. Salah satunya masalah yang terkait dengan otak.
Apa saja masalah otak yang dimaksud dan seberapa besar kemungkinan bayi bisa survive dengan kondisi ini? Let's get closer!
1. Periventricular leukomalacia

Dilansir MedlinePlus, periventricular leukomalacia (PVL) adalah cedera otak yang menyerang bayi prematur. Pada kondisi ini, terjadi kematian area kecil jaringan otak di sekitar ventrikel (ruang atau rongga di otak yang berisi cairan).
Diperkirakan penyebabnya adalah perubahan aliran darah ke area sekitar ventrikel otak. Area ini rapuh dan rentan cedera, terlebih sebelum menginjak usia kehamilan 32 minggu. Penyebab lainnya adalah infeksi waktu persalinan.
PVL menyebabkan kerusakan pada saraf di otak terkait pengendalian gerakan. Gejalanya ialah kejang otot atau menyentak tiba-tiba, otot tegang atau justru terlalu lemah. Bayi yang lahir dengan PVL berisiko tinggi mengalami cerebral palsy dan keterlambatan perkembangan, mengutip Healthline.
2. Hidrosefalus

Menurut National Institute of Neurological Disorders and Stroke (NINDS), hidrosefalus adalah penumpukan cairan yang tidak normal di ventrikel otak. Akibatnya, ventrikel melebar dan memberi tekanan pada jaringan otak.
Walau penyebab hidrosefalus belum diketahui secara pasti, gejalanya mudah dikenali, seperti ukuran kepala yang lebih besar daripada ukuran normal, mata melihat ke bawah, pembesaran kepala yang cepat, muntah, kejang, kesulitan mengisap atau menyusu, dan kantuk berlebih.
Salah satu cara untuk menangani hidrosefalus adalah dengan ventriculoperitoneal shunts untuk mengalirkan cairan ekstra keluar dan mencegah tekanan pada otak agar tidak terlalu tinggi, mengutip Kids Health. Opsi lain adalah dengan ventrikulostomi, salah satu prosedur pembedahan yang bersifat invasif.
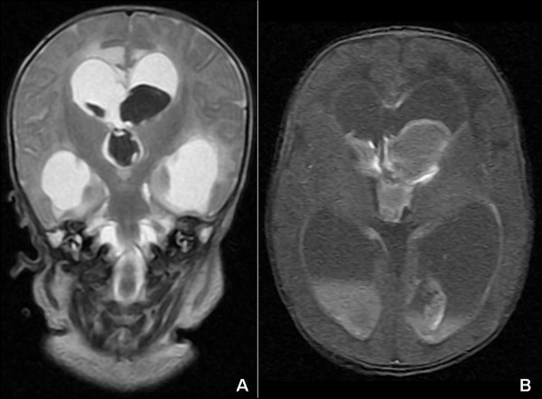
3. Perdarahan intraventrikular

Berdasarkan keterangan dari laman Lucile Packard Children's Hospital Stanford, perdarahan intraventrikular (IVH) umum terjadi pada bayi prematur yang beratnya kurang dari 3 pon 5 ons (kurang lebih 1,5 kilogram). IVH adalah kondisi ketika bayi prematur mengalami pecah pembuluh darah halus di otak.
Akibatnya, darah terkumpul di otak dan bisa merusak sel-sel saraf. Dilansir Healthline, gejalanya adalah detak jantung rendah, apnea (periode henti napas berulang), tangisan bernada tinggi, anemia (sel darah merah rendah), terdapat bintik-bintik lunak yang menonjol, hingga kejang.
Bila bayi dicurigai mengalami IVH, perlu dilakukan ultrasonografi (USG) untuk melihat berapa banyak perdarahan yang terjadi. Lalu, dokter akan menetapkan nilai untuk perdarahannya. Makin tinggi nilainya, kemungkinan makin besar kerusakannya.
4. Cerebral palsy

Bayi prematur dan berat badan lahir rendah (BBLR) berisiko tinggi mengalami cerebral palsy. Gejalanya tidak langsung terlihat setelah bayi lahir. Biasanya akan diketahui di usia 2 atau 3 tahun, dilansir National Health Service.
Gejalanya meliputi postur tubuh tidak normal, ketidakseimbangan otot, kekakuan otot (floppiness), rentang gerak yang terpengaruh, gerakan menyentak berulang, kesulitan menelan, terlihat adanya getaran, hingga goyah ketika berjalan.
Perawatan untuk cerebral palsy adalah terapi fisik, terapi wicara, hingga obat untuk mengurangi kelenturan otot. Beberapa individu memerlukan operasi ortopedi untuk meningkatkan jangkauan gerak.
5. Asfiksia

Mengutip Seattle Children’s, asfiksia merupakan kekurangan oksigen dan aliran darah ke otak. Gejalanya seperti detak jantung rendah, refleks lemah, tonus otot buruk, hingga asidosis (terlalu banyak asam dalam darah).
Penyebabnya banyak, seperti:
Bayi yang mengalami asfiksia ringan atau sedang bisa pulih sepenuhnya. Akan tetapi, apabila sel tidak memperoleh oksigen yang cukup dalam waktu yang lama, bayi berisiko mengalami cedera permanen, terutama pada organ seperti otak, jantung, paru-paru, ginjal, usus, dan lainnya.
Tak disangka, ternyata bayi prematur rentan mengalami berbagai masalah Semoga ke depannya kasus bayi prematur makin berkurang, ya!



















