Penyakit Mulut di Usia Muda, 5 Fakta tentang Periodontitis Agresif

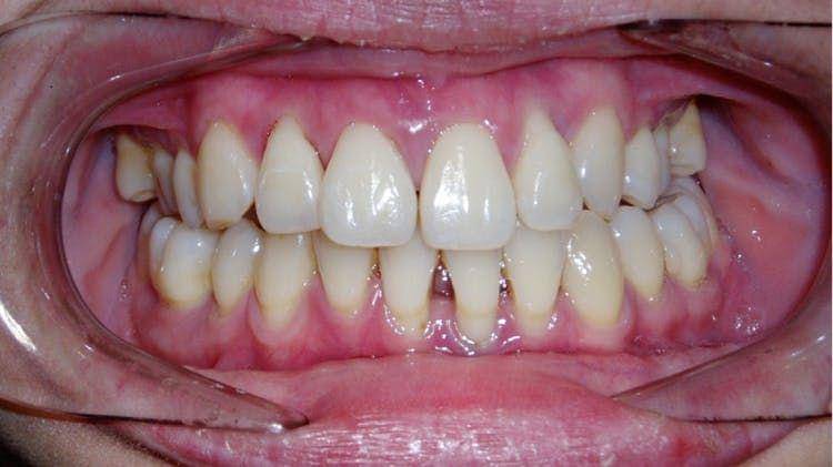
Periodontitis agresif adalah suatu penyakit jaringan pendukung gigi yang ditandai dengan kerusakan tulang gigi yang cukup parah dan hilangnya perlekatan antara gusi dan gigi, tetapi dengan jumlah plak dan karang gigi yang sedikit.
Umumnya, penderita periodontitis agresif mengeluhkan gusi berdarah yang cukup sering dan gigi terasa goyang.
Berbeda dengan jenis penyakit lain yang menyerang jaringan pendukung gigi, periodontitis agresif biasa dihubungkan dengan faktor genetik, respons imun yang tidak adekuat, dan adanya bakteri spesifik. Ini karena umumnya penderita memiliki kondisi mulut yang sehat.
Mau tahu lebih lanjut mengenai penyakit periodontitis agresif? Simak fakta lengkapnya di bawah ini, ya!
1. Menyerang individu pada usia muda

Penyakit mulut memang dapat menyerang semua usia. Namun, berbeda dengan periodontitis agresif yang umumnya menyerang dewasa muda atau remaja usia puber, yang terbagi menurut jenisnya.
Berdasarkan sebuah studi dalam Cakradonya Dental Journal tahun 2015, periodontitis agresif dapat terjadi secara lokal (localized aggresive periodontitis atau LAP) atau menyeluruh (generalized aggresive periodontitis atau GAP).
Kejadiannya secara lokal umumnya menyerang usia pubertas, sedangkan secara menyeluruh biasa menyerang usia di bawah 30 tahun.
2. Didominasi oleh bakteri Aggregatibacter actinomycetemcomitans

Aggregatibacter actinomycetemcomitans, atau yang biasa disebut dengan bakteri Aa, adalah bakteri gram negatif anaerob fakultatif yang banyak ditemukan pada periodontitis agresif. Bakteri ini disebut sebagai bakteri dominan pada periodontitis agresif karena 90 persen dari total mikrobiota pada penyakit ini adalah bakteri tersebut.
Bakteri Aa merupakan bakteri flora normal yang bersifat patogen oportunistik, yang berkolonisasi di mukosa rongga mulut, gigi, dan orofaring (saluran antara mulut dan tenggorokan).
Menurut sebuah penelitian dalam Journal of the International Clinical Dental Research Organization tahun 2015, bakteri Aa memiliki beberapa faktor virulensi yang dapat menyerang jaringan pendukung gigi. Bakteri ini bekerja dengan membentuk kolonisasi dalam rongga mulut, mengganggu dan menghancurkan sistem pertahanan tubuh host, dan menghambat perbaikan jaringan host.
3. Tingkat keparahan yang terjadi tidak seimbang dengan kebersihan mulut penderita

Jika dilihat secara kasatmata, penderita periodontitis agresif cenderung memiliki kebersihan mulut yang baik.
Menurut sebuah laporan dalam Majalah Kedokteran Gigi Indonesia tahun 2011, pada penyakit periodontitis agresif, akumulasi plak dan karang gigi yang terdapat di dalam mulut hanya sedikit.
Sementara, ketika dilakukan pemeriksaan secara radiografis, terlihat kerusakan jaringan yang tergolong parah. Hal ini pula yang membedakan periodontitis agresif dengan penyakit mulut lain yang menyerang gigi serta jaringan pendukungnya.
4. Ditandai dengan kerusakan tulang gigi yang terjadi dengan cepat

Selain kerusakan yang tergolong parah, kejadian periodontitis agresif ini juga berlangsung dengan sangat cepat.
Seperti yang dilaporkan dalam Cakradonya Dental Journal tahun 2016, pada periodontitis agresif terjadi inflamasi pada jaringan pendukung gigi yang perkembangan penyakitnya cepat.
Selain itu, ada pula tanda hilangnya perlekatan jaringan ikat dan kerusakan tulang gigi yang cepat pada lebih dari satu gigi permanen.
5. Dapat ditangani dengan terapi lokal dan sistemik

Perawatan periodontitis agresif dapat dilakukan secara lokal maupun sistemik. Secara lokal, penyakit ini ditangani dengan melakukan scaling dan root planning sebagai terapi pertama untuk mengeliminasi bakteri yang menempel pada permukaan gigi dan dalam gusi.
Penggunaan obat kumur juga dapat diberikan. Melansir laporan dalam Insisiva Dental Journal tahun 2012, obat kumur dapat memberikan hasil perawatan yang maksimal dalam pembersihan bakteri patogen di jaringan pendukung gigi.
Selain itu, pemberian obat antibiotik secara sistemik juga dapat dijadikan opsi perawatan periodontitis agresif. Menurut tinjauan pustaka dalam Cakradonya Dental Journal tahun 2015, pemberian antibiotik secara sistemik mutlak diperlukan karena bakteri Aggregatibacter actinomycetemcomitans bisa masuk ke dalam jaringan. Maka dari itu, terapi secara mekanis saja dianggap tidak cukup dalam mengurangi jumlah bakteri.
Itu dia beberapa fakta tentang periodontitis agresif. Bila kamu mengalami keluhan-keluhan mengenai gigi dan jaringan di sekitarnya, pastikan untuk melakukan perawatan ke dokter gigi, ya.
Selain itu, jangan lupa untuk tetap menjaga kebersihan dan kesehatan gigi dan mulut dengan rutin menyikat gigi dua kali sehari, serta dan rutin kontrol ke dokter gigi setiap enam bulan sekali.




.jpg)














