6 Fakta Penting Glioblastoma, Penyakit yang Menyerang Agung Hercules

Kabar sakit seorang Agung Hercules ramai dibicarakan di jagat maya. Agung Hercules yang dikenal bertubuh kekar dan energik tersebut didiagnosa menderita Glioblastoma stadium 4. Penampilannya pun berbuah menjadi lebih kurus dengan rambut yang dicukur botak.
Lantas apa itu Glioblastoma? Berikut adalah 6 Fakta Glioblastoma yang wajib kamu ketahui!
1. Survival rate yang tak lama

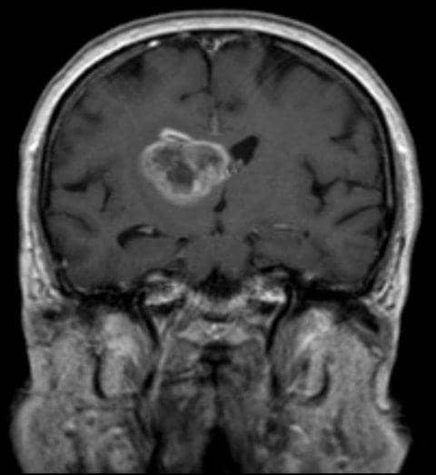
Glioblastoma merupakan jenis tumor yang menyerang sel otak dan tumbuh pada salah satu sisi otak. Tumor ini terbentuk dari sel berbentuk bintang di otak yang disebut, astrosit. Sekitar satu dari lima tumor yang dimulai di otak adalah glioblastoma ini. Menurut National Brain Tumor Society Amerika, angka harapan hidup rata-rata dari penyakit ini adalah 15 bulan hingga 3 tahun setelah didiagnosa.
2. Termasuk penyakit ganas

Glioblastoma dikategorikan sebagai tumor ganas dan agresif karena perkembangan sel-sel tumor ini sangat cepat. Oleh karena itu tumor ini bisa sulit untuk diobati karena dalam tumor terdapat banyak jenis sel-sel abnormal yang berbeda-beda, yang mana sebagian dapat merespon dengan baik pada terapi tertentu dan sebagian sel lainnya tidak.
3. Lebih banyak menyerang laki-laki

Tumor ganas ini akan berkembang seiring bertambahnya usia. Pada umumnya, glioblastoma lebih banyak menyerang orang dewasa dan lebih banyak pada laki-laki. Rentang usia seseorang dapat mengidap penyakit ini antara 45-70 tahun.
4. Risiko kambuhnya penyakit ini sangat tinggi

Apabila Glioblastoma tidak didiagnosis dengan segera dan cepat makan kekambuhan penyakit ini akan sering terjadi. Hal ini karena sel-sel tumor ini berkembang dengan cepat seiring bertambahnya usia. Apabila tidak ditangani sejak awal, sel-sel tumor dapat menyebar ke bagian otak lainnya.
Gejala penyakit ini biasanya sakit kepala yang konstan, kejang, muntah, masalah berpikir, perubahan suasana hati atau kepribadian, pandangan kabur atau ganda, dan kesulitan berbicara.
5. Penyebab yang belum diketahui pasti

Penyebab tumor atau kanker otak memang belum diketahui secara pasti. Namun beberapa ahli menduga bahwa kemungkinan ada faktor genetik yang mendukung penyakit ini berkembang. Selain itu, paparan radiasi ion juga diduga menjadi penyebab berkembangnya tumor ganas ini. Kendati demikian, masih dibutuhkan riset lebih lanjut untuk memastikan penyebab penyakit ini.
6. Terapi yang digunakan

Penanganan penyakit tumor ini bisa dilakukan dengan beberapa terapi. Salah satu langkah awalnya adalah dengan melakukan pembedahan untuk memotong atau mengangkat sel-sel tumor. Namun, pembedahan ini sangat beresiko dan seringkali tidak dapat dilakukan kalau tumor berada pada bagian dalam yang sensitif pada otak.
Selain pembedahan, terapi radiasi juga bisa dilakukan. Terapi radiasi menggunakan sinar berenergi tinggi seperti sinar-X atau proton untuk membunuh sel-sel kanker. Terapi lainnya yang umum digunakan adalah kemoterapi.
Itulah beberapa fakta penting tentang Glioblastoma, si tumor ganas yang menyerang otak. Ada baiknya kita menjaga kesehatan kita agar terhindar penyakit-penyakit yang tidak diinginkan.








![[QUIZ] Kalau Punya Anak, Kamu Bakal Jadi Tipe Bapak Seperti Apa?](https://image.idntimes.com/post/20250517/premium-photo-1664279990106-9f5c41bd7f5a-b87dbf88049ea09327ded00ec8bf5046-e7f7326c95d633244190a220a2836080.jpeg)
![[QUIZ] Cara Kamu Ngemil di Kantor Ungkap Risiko Kesehatanmu](https://image.idntimes.com/post/20250805/1000437091_25e33428-64c8-41c2-8596-b0832973e9d5.jpg)






![[QUIZ] Playlist Favoritmu Bisa Menunjukkan Cara Kamu Melawan Rasa Malas](https://image.idntimes.com/post/20250514/pexels-viralyft-16897649-8ed9de860b0ace40589a8766fe9a17d0-bcead74174e00b2d4a0e1455f0676a42.jpg)


