Terjadi pada Masa Kehamilan, Apa Itu Epulis Gravidarum?

Selama kehamilan, tubuh perempuan akan mengalami berbagai perubahan fisik, hormon, dan fisiologis untuk mendukung pertumbuhan dan perkembangan bayi yang sedang berkembang.
Perubahan yang terjadi ini dapat bermanifestasi pada rongga mulut, seperti pada gusi, yang salah satunya adalah epulis gravidarum. Apa itu epulis gravidarum? Berikut penjelasannya!
1. Apa itu epulis gravidarum?

Epulis gravidarum atau pregnancy pyogenic granuloma merupakan bentuk pertumbuhan (lesi hiperplastik) dari jaringan gusi yang tidak normal selama masa kehamilan.
Epulis memiliki arti "tumor" yang merupakan suatu perkembangan lokal suatu jaringan yang merujuk pada tumor yang disebabkan oleh inflamasi, dan bukan suatu lesi keganasan.
Kejadian epulis gravidarum diperkirakan sebesar 5 persen dari keseluruhan perempuan hamil. Epulis gravidarum umumnya terjadi selama trimester kedua dan ketiga kehamilan, tetapi bisa muncul kapan saja selama kehamilan.
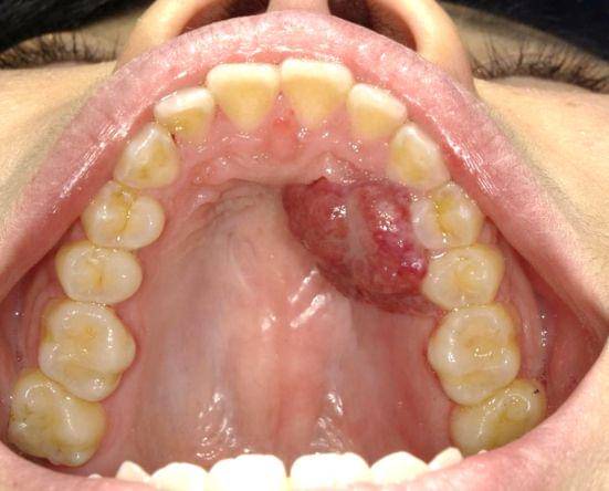
2. Gejala dan tampilan klinis epulis gravidarum

Epulis gravidarum biasanya muncul sebagai benjolan merah muda atau kemerahan pada gusi yang bisa berdarah, baik karena adanya rangsangan maupun secara spontan.
Lesi tersebut mudah berdarah dikarenakan terdapat banyak vaskularisasi atau pembuluh darah. Biasanya epulis gravidarum tidak menyebabkan rasa sakit, tetapi menyebabkan ketidaknyamanan.
Pertumbuhan lesi ini dapat terjadi pada bagian gusi, meskipun sebagian besar terjadi pada mukosa bibir dan pada papilla interdental (gusi pada celah gigi), serta lebih sering terjadi pada rahang atas dibandingkan rahang bawah.
Ukuran tumor atau lesi ini dapat bervariasi, bahkan bisa tumbuh hingga diameter 2 sentimeter (cm). Gigi yang berada di sekitar lesi ini dapat mengalami kegoyahan serta penurunan tulang di sekitar gigi akibat efek kombinasi dari menumpuknya plak gigi pada celah yang terbentuk akibat epulis gravidarum.
3. Penyebab

Penyebab pasti epulis gravidarum belum sepenuhnya diketahui, tetapi diperkirakan terkait dengan perubahan hormon selama kehamilan, terutama peningkatan estrogen dan progesteron yang memengaruhi mukosa mulut dan kulit.
Perubahan hormon seperti hormon estrogen akan mengakibatkan peningkatan vaskularisasi dari pembuluh darah. Hormon progesteron juga mengakibatkan keadaan imunitas gusi menjadi lebih rentan untuk diserang bakteri dalam rongga mulut yang menciptakan penumpukan sel inflamasi pada gusi. Penurunan respons inang terhadap bakteri dan peningkatan permeabilitas vaskular tersebut serta infiltrasi cairan ke dalam jaringan gusi dapat berkontribusi pada pembentukan epulis gravidarum. Keberadaan plak gigi juga dapat memperburuk kondisi epulis yang sedang terjadi.
4. Pengobatan

Epulis gravidarum biasanya bukan masalah yang serius, tetapi penting untuk mengonsultasikan lesi ini dengan dokter gigi atau dokter kandungan. Dokter gigi akan memberikan perawatan atau saran yang sesuai, seperti scaling gigi untuk membersihkan area gigi di sekitar epulis atau pengangkatan jaringan berlebih jika diperlukan.
Setelah melahirkan, epulis gravidarum sering kali mengecil atau hilang dengan sendirinya karena berkaitan dengan perubahan hormon kehamilan yang kembali stabil. Namun, dalam beberapa kasus, perawatan tambahan mungkin diperlukan jika epulis masih ada dan mengganggu.
5. Pencegahan

Perubahan hormonal pada perempuan hamil merupakan suatu kondisi yang tidak dapat dihindari sehingga kerentanan perubahan jaringan gusi dan mukosa mulut akan sulit dihindari. Namun, ada cara untuk tidak memperburuk perubahan jaringan tersebut, yaitu dengan menjaga kebersihan rongga mulut.
Rutin menyikat gigi minimal dua kali sehari setelah makan dan sebelum tidur dengan pasta gigi berfluorida menjadi kunci penting untuk kebersihan gigi dan mulut. Dengan menyikat gigi, plak dan bakteri yang menjadi sumber infeksi dapat dihilangkan dan mencegah terjadinya kemungkinan masalah gusi serta rongga mulut yang lebih buruk.
Epulis gravidarum memang bukan masalah yang serius selama kehamilan. Akan tetapi, perlu kesadaran diri untuk terus menjaga kebersihan gigi dan mulut untuk terhindar dari masalah yang lebih serius.
Selain itu, ibu hamil juga perlu pemeriksan oleh dokter gigi untuk mengonsultasikan masalah terkait gusi maupun rongga mulut lain. Ini dapat membantu menjaga kesehatan ibu hamil secara umum serta mencegah masalah kesehatan yang dapat memengaruhi bayi dalam kandungan.



















