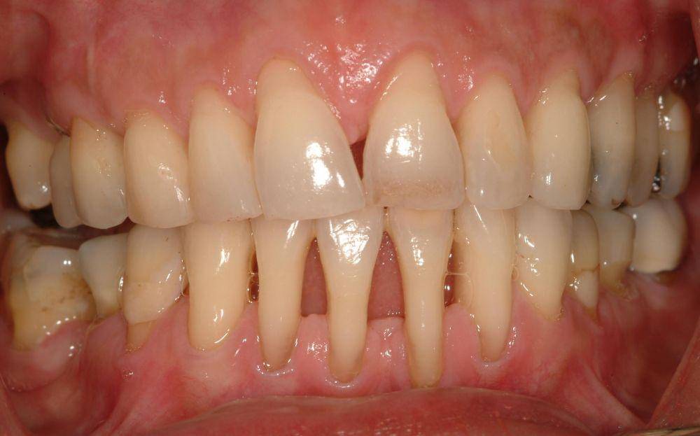
- Gusi meradang atau membengkak
- Gusi berubah warna menjadi merah cerah, terkadang ungu
- Sensasi nyeri dan lunak saat gusi disentuh
- Penyusutan gusi yang membuat gigi terlihat lebih panjang
- Celah ekstra muncul di antara gigi
- Muncul nanah di batas antara gigi dan gusi
- Muncul darah saat sikat gigi atau flossing, bisa diketahui dari rasa logam di mulut
- Halitosis atau bau mulut
- Gigi goyang atau tanggal
Penyakit Gusi Memperparah Gejala COVID-19? Ini Faktanya

Sejak pertama terdeteksi pada akhir tahun 2019 hingga sekarang, umat manusia beserta ilmu pengetahuan dan teknologinya masih meneliti penyakit akibat virus corona baru SARS-CoV-2 penyebab COVID-19. Salah satu hal yang diteliti adalah dampak dari infeksi virus tersebut terhadap pasien.
Ada temuan baru dari studi gabungan antara Qatar, Kanada, dan Spanyol lewat laporan berjudul "Association between periodontitis and severity of COVID-19 infection". Sesuai namanya, para peneliti terkejut akan koneksi antara penyakit gusi atau periodontitis dan COVID-19 gejala parah.
1. Sekilas info mengenai periodontitis

Periodontitis atau penyakit gusi adalah gangguan kesehatan berupa infeksi yang menimpa gusi dan struktur gigi di sekelilingnya. Saat bakteri dan plak menumpuk di gigi dan gusi, maka tubuh akan melancarkan reaksi inflamasi. Namun, saat inflamasi tersebut malah memburuk, hasilnya adalah periodontitis.
Dilansir Medical News Today, gejala-gejala periodontitis termasuk:
Sejatinya, periodontitis dapat dicegah dengan menjaga kebersihan rongga mulut. Kebiasaan sikat gigi setiap hari, flossing, berkumur dengan obat kumur yang sesuai, dan secara rutin memeriksakan gigi dapat mencegah periodontitis.
2. Komplikasi akibat periodontitis

Jika tidak diobati, periodontitis berkembang hingga menyebabkan terbentuknya celah antara gusi dan gigi. Hal ini menyebabkan bakteri dapat menginvasi struktur tulang dan jaringan gusi. Melemahnya sistem imun juga umum terlihat pada penderita periodontitis kronis.
Selain itu, penelitian-penelitian terkini pun memperlihatkan hubungan antara periodontitis dengan berbagai komplikasi, dari penyakit jantung, diabetes, hingga masalah pernapasan. Bahkan, periodontitis pada ibu hamil juga diperkirakan bisa menyebabkan preeklamsia dan berat lahir bayi rendah.
Salah satu peneliti dari McGill University di Kanada, Wenji Cai, mengatakan bahwa periodontitis dapat dikaitkan dengan berbagai komplikasi parah, dari mulut hingga sistem tubuh.
"Periodontitis dianggap sebagai faktor risiko untuk sejumlah penyakit mulut dan sistem tubuh. Ini adalah sebuah pandemi yang tak kasat mata. Periodontitis menyebabkan inflamasi pada gusi, dan jika tak ditangani dapat menyebar ke seluruh tubuh. Oleh karena itu, kesadaran akan periodontitis dan menjaga kesehatan mulut perlu ditingkatkan," ujar Cai.
Kemudian, ia pun menekankan bahwa saat pandemi COVID-19, kesehatan rongga mulut pun harus lebih diperhatikan. Kenapa begitu?
3. Melibatkan data 568 pasien di Qatar

Dalam studi yang dimuat dalam Journal of Clinical Periodontology tahun 2021 tersebut, para peneliti gabungan dari Qatar, Kanada, dan Spanyol mengemukakan bahwa risiko komplikasi lebih besar pada pasien COVID-19 dengan periodontitis.
Untuk melakukan penelitian tersebut, para peneliti menggunakan data 568 pasien COVID-19 asal Qatar dari Hamad Medical Corporation (HMC), lembaga yang mengelola catatan kesehatan dan sistem kesehatan gigi masyarakat untuk Qatar. Oleh karena itu, data dapat diperoleh dengan cepat dan penelitian pun dapat segera berlangsung.
4. Riset: risiko komplikasi besar menanti pasien COVID-19 dengan periodontitis

Setelah meneliti catatan kesehatan dari HMC pada periode Februari-Juli 2020, para peneliti menemukan hasil yang mengejutkan. Ternyata, pasien COVID-19 dengan periodontitis terpapar risiko komplikasi dan mortalitas yang lebih besar.
Secara detail, dibandingkan dengan mereka yang tidak mengidap periodontitis, para peneliti mengatakan bahwa pasien COVID-19 dengan periodontitis 3,5 kali lebih besar risikonya dirawat di unit perawatan intensif (ICU), 4,5 kali lebih membutuhkan ventilator, hingga 8,8 kali lebih mungkin untuk meninggal dunia.

Analisis tersebut menyatakan bahwa terdapat penanda biologis atau biomarker yang memperlihatkan inflamasi yang jauh lebih tinggi pada pasien COVID-19 yang mengidap periodontitis.
"Pada pasien COVID-19 gejala parah, virus menyebabkan respons peradangan yang mengakibatkan komplikasi hingga kematian. Riset kami menemukan bahwa periodontitis memperburuk skenario ini," papar Cai dilansir situs resmi McGill University.
Rekan penulis penelitian tersebut, dr. Faleh Tamimi, mengiyakan pernyataan Cai. Ia pun mengkhawatirkan bahwa pasien COVID-19 dengan periodontitis juga ikut dirugikan dengan tingkat inflamasi yang sudah tinggi.
"Pasien amat dirugikan, apalagi jika penyakit COVID-19 mereka menyebabkan hiper-inflamasi. Hal ini membuat mereka lebih rentan terhadap komplikasi parah yang diakibatkan COVID-19," jelas dr. Tamimi mengutip Medical News Today.
5. Hal-hal yang perlu diperhatikan

Para peneliti kemudian menyimpulkan bahwa terdapat korelasi antara periodontitis dan tingkat keparahan COVID-19. Oleh karena itu, penting untuk menjaga kesehatan rongga mulut di masa pandemi ini, tidak kalah dari menjaga protokol kesehatan!
Akan tetapi, beberapa hal perlu diperhatikan dari penelitian tersebut. Hingga saat ini, belum ada penelitian lain yang mempublikasikan efek periodontitis terhadap pasien COVID-19. Selain itu, penelitian tersebut hanya menjelaskan kaitan COVID-19 dan periodontitis, bukan hubungan sebab dan akibatnya.
“Karena ukuran sampel yang terbatas pada penelitian kami, kami mengelompokkan empat tahap penyakit periodontal yang berbeda menjadi dua kategori. Dengan menggabungkan tahap 0-1 dan 2-4, kami dapat melihat hubungan keseluruhan antara periodontitis dan COVID,” kata dr. Tamimi.

Di sisi lain, para peneliti mencatat bahwa penilaian buta pada radiografi gigi oleh para peninjau independen dan sifat representatif yang kuat dari sampel populasi dapat meningkatkan akurasi penelitian. Selain itu, penelitian ini juga mempertimbangkan berbagai faktor, seperti demografis, medis atau perilaku, untuk menghindari bias.
Kesimpulan terakhir, para peneliti menyatakan bahwa dibutuhkan penelitian lebih mendalam terhadap pengaruh periodontitis dan COVID-19 untuk memahami hubungan sebab akibat antara keduanya.
"Selain itu, memahami mekanisme yang mendasari hubungan antara periodontitis dan komplikasi COVID-19 adalah bidang penelitian yang menjanjikan target mekanis, stratifikasi risiko, dan intervensi baru," tutup penelitian tersebut.
6. Kiat pencegahan periodontitis

Berbekal penelitian tersebut, penting bagimu untuk tetap menjaga kebersihan gigi di saat pandemi COVID-19 agar terhindar dari periodontitis. Selain rutin mengecek kesehatan rongga mulut ke dokter gigi, beberapa hal yang dapat kamu perhatikan adalah:
- Sikat gigi dengan sikat dan odol yang sesuai setidaknya dua kali sehari, bersihkan permukaan serta sisi gigi dengan hati-hati
- Gunakan benang gigi untuk membersihkan sela-sela gigi setiap hari, di tempat yang tidak terjangkau sikat
- Berhati-hatilah saat membersihkan sekitar permukaan gigi yang tidak rata misalnya gigi yang rapat atau bengkok, mahkota gigi, gigi palsu, tambalan gigi, dan sebagainya
- Setelah menyikat gigi, gunakan obat kumur antibakteri untuk membantu mencegah pertumbuhan bakteri dan mengurangi reaksi inflamasi pada rongga mulut

Selain itu, American Dental Association menambahkan:
- Sikat gigi selama 2 menit dan dua kali sehari dengan sikat gigi manual atau elektrik yang memiliki bulu sikat lembut
- Gunakan odol yang mengandung fluorida
- Bilas sikat gigi secara menyeluruh setelah digunakan, lalu letakkan dalam posisi tegak dan kepala sikat di atas
- Ganti sikat gigi setiap 3 hingga 4 bulan
- Sikat gigi tidak boleh digunakan secara bergilir, karena bakteri dapat berpindah
Menjaga diri dan orang tersayang dari COVID-19 berarti tetap di rumah bila tidak ada urusan mendesak. Akan tetapi, ingat, hal ini bukan berarti kamu bisa menelantarkan kebersihan diri, terutama rongga mulut! Selain napas wangi, ingat bahwa kebersihan rongga mulut menjaga tubuh dari infeksi bakteri agar tidak memperparah infeksi COVID-19.



















