“Mereka tidak akan melihat spot hitam yang menjadi luka bakar tersebut. Namun photoreceptor mata yang rusak akan membuatnya sulit untuk melihat secara jelas,” kata Ralph Chou, profesor di School of Optometry & Vision Science University of Waterloo Kanada kepada LiveScience.
Jangan Melihat Gerhana Matahari secara Langsung, Ini Bahayanya!

Besok, Kamis, tepatnya 26 Desember 2019, Indonesia akan dilewati oleh peristiwa yang cukup langka, yaitu gerhana matahari cincin. Peristiwa ini dimulai pukul 12.15 WIB dan hanya berlangsung selama empat menit saja.
Namun jangan keburu terlalu senang dulu, ya. Ada beberapa hal yang penting untuk kamu ketahui saat menyaksikan gerhana matahari cincin. Salah satunya adalah pantangan untuk melihatnya secara langsung. Apa alasannya, ya? Yuk, simak penjelasan berikut ini!
1. Mata kita memang tak mampu menatap Matahari secara langsung

Secara umum, mata manusia memang tidak bisa melihat Matahari secara langsung tanpa perlindungan apa pun. Menurut laman Business Insider, cahaya matahari secara normal mengeluarkan energi sebesar 5.000 kali lipat cahaya lampu. Tentu saja, mata kita tidak mampu mengatasinya. Itulah kenapa secara refleks, kita akan menutup mata atau memalingkan wajah saat terkena cahaya matahari.
2. Walaupun cahayanya tertutup, gerhana matahari tidak aman dilihat secara langsung

Hal yang sama juga berlaku pada gerhana matahari. Justru saat gerhana terjadi, refleks kita tidak akan seaktif saat Matahari bersinar terang. Kita akan berpikir bahwa ini merupakan saat yang aman untuk menatapnya selama beberapa menit. Padahal sebenarnya tidak.
Terlebih lagi, kita tak tahu kapan Bulan bergeser dan membiarkan Matahari kembali bersinar terang. Saat itu terjadi, mata akan mengalami syok karena perubahan dari gelap ke terang yang sangat intens.
3. Melihat gerhana secara langsung akan menyebabkan solar retinopathy

Dilansir dari Space.com, cahaya matahari merusak mata dengan cara memicu reaksi kimia pada retina. Area tersebut sangat sensitif terhadap cahaya karena ia berperan menangkap gambar dan menyalurkannya ke otak.
Ketika terlalu banyak cahaya yang masuk, sel dan protein di retina yang membantu memproses gambar akan rusak. Akibatnya, kita kesulitan untuk melihat. Masalah ini disebut dengan solar retinopathy.
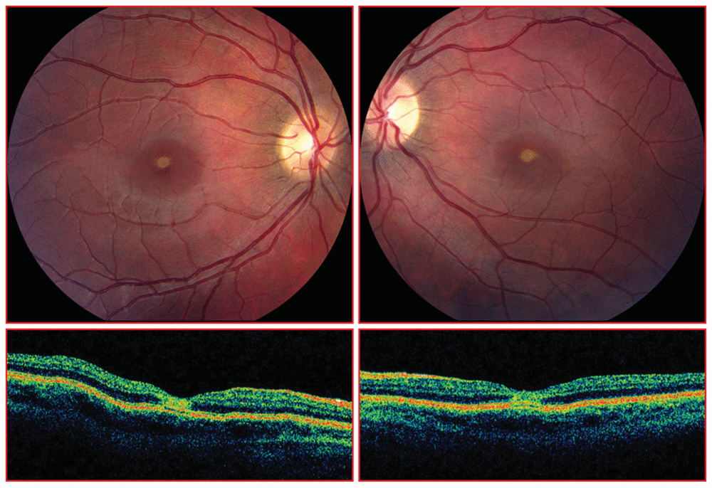
4. Solar retinopathy tampak seperti "luka bakar" pada mata

Solar retinopathy tidak akan teridentifikasi dalam beberapa jam pertama. Tidak ada rasa sakit yang ditimbulkan karena retina tidak memiliki reseptor tersebut. Namun keesokan harinya, kamu akan merasakan gangguan penglihatan.
Seperti yang dilakukannya pada kulit, sinar matahari dapat menimbulkan “luka bakar” pada mata kita. Kamu bisa melihatnya pada gambar di atas. Yang dimaksud luka bakar itu adalah area kehitaman di dalam bola mata, tepatnya di retina. Apa efeknya? Mereka akan memunculkan titik-titik kabur pada jangkauan penglihatan kita.
5. Seburuk apakah efek dari solar retinopathy? Apakah akan membuat kita buta?

Rumor mengatakan bahwa melihat gerhana matahari dapat menimbulkan kebutaan. Sebenarnya tidak seekstrem itu. Namun cukup untuk mengakibatkan kerusakan yang parah.
Menurut penjelasan dari LiveScience, solar retinopathy akan membuat penderitanya kesulitan melihat detail-detail kecil. Misalnya, tulisan pada koran, tekstur benda, atau bahkan kontur wajah seseorang.
6. Apakah solar retinopathy dapat disembuhkan?

Hingga saat ini belum ada kepastian mengenai tingkat kesembuhan solar retinopathy. Namun Chou mengatakan bahwa kebanyakan pasien bisa melihat secara normal setelah enam bulan. Sedangkan sisanya harus menjalani kondisi tersebut sepanjang hidup. Tingkat kesembuhan tersebut bergantung pada seberapa besar kerusakan yang timbul.
7. Do's dan dont's saat melihat gerhana matahari

Terdapat sejumlah do’s dan dont’s yang sebaiknya kamu terapkan saat menyaksikan gerhana matahari esok hari. Berikut ini anjurannya:
- Gunakan pinhole projector, kamu bisa membuatnya dari kertas dan karton yang dilubangi;
- Kamu bisa melihat gerhana matahari melalui pantulannya di air;
- Gunakan teropong yang didesain khusus untuk melihat Matahari;
- Jangan melihat gerhana secara langsung;
- Kacamata hitam tidak akan bisa melindungi matamu, bahkan yang sangat gelap sekalipun;
- Jangan melihat gerhana dengan teleskop dan teropong tanpa solar filter, ini dilarang keras karena bisa menyebabkan kebutaan;
- Jangan melihatnya melalui pantulan cermin.
Nah, sekarang kamu sudah tahu kalau melihat gerhana matahari secara langsung dapat merusak mata. Alih-alih melihat langsung, gunakan cara-cara yang aman untuk menyaksikan gerhana matahari. Dengan begitu, penglihatanmu tidak akan terganggu!



















