- Sakit kepala.
- Batuk.
- Hidung meler atau tersumbat.
- Tidak bisa mencium dengan baik.
- Kelelahan.
- Demam.
7 Penyebab dan Cara Mengatasi Sakit Gigi saat Bangun Tidur

Bangun pagi dalam kondisi segar bugar dan menikmati secangkir teh atau kopi adalah cara yang menyenangkan untuk memulai hari. Namun, apa yang terjadi bila mengalami sakit gigi saat bangun tidur? Tentunya ini bisa bikin tak nyaman dan mengganggu aktivitas.
Nyeri gigi pada pagi hari termasuk kondisi yang umum terjadi. Inilah beberapa penyebab sakit gigi saat bangun tidur dan cara mengatasinya.
1. Sinusitis
Kalau kamu bangun tidur pada pagi hari dengan rasa sakit di gigi belakang atas, penyebabnya mungkin adalah infeksi sinus atau sinusitis.
Dilansir Healthline, sinus terletak tepat di atas gigi. Pada orang dengan sinusitis, cairan dapat terkumpul di sana saat berbaring, termasuk saat tidur. Hal ini menyebabkan terjadinya tekanan dan nyeri, terutama pada gigi molar atas atau premolar (gigi posterior rahang atas).
Gejala umum sinusitis lainnya meliputi:
2. Gigi berlubang

Gigi berlubang atau karies adalah penyebab sakit gigi yang paling umum. Karies adalah area yang rusak secara permanen di permukaan keras gigi yang berkembang menjadi bukaan lubang kecil. Ini disebabkan oleh beberapa faktor, termasuk bakteri di mulut, sering ngemil, konsumsi yang manis-manis, dan tidak menjaga kebersihan gigi dengan baik.
Apabila tidak ditangani, lubang dapat meluas hingga ke lapisan dalam gigi (pulpa), yang mana ini merupakan tempat saraf gigi dan pembuluh darah berada.
Kerusakan gigi yang tidak diobati dapat terasa sangat menyakitkan, intens, atau nyeri tajam dalam interval yang sering.
3. Bruksisme
Bruksisme (bruxism) atau menggemeretakkan gigi membuat kamu mengatupkan rahang dan menggemeretakkan gigi secara tidak sadar saat tidur. Pada kondisi bruksisme, penderitanya juga dapat mengatupkan rahang saat terjaga.
Serangan bruksisme dapat menyebabkan:
- Sakit telinga.
- Sakit gigi.
- Sakit pada rahang.
- Sakit kepala.
- Kerusakan gigi.
Penyebab pasti bruksisme tidak diketahui secara pasti. Akan tetapi, stres dan gangguan terkait tidur termasuk sleep apnea mungkin sering menjadi faktor utama.
Genetika mungkin berkontribusi besar terhadap kejadian bruksisme (Sleep, 2016).
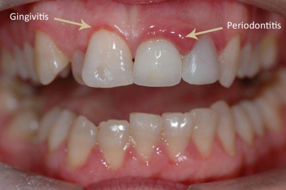
4. Penyakit gusi

Penyakit gusi tahap awal dikenal sebagai gingivitis. Gingivitis dapat menyebabkan gusi merah dan bengkak, yang sering kali berdarah saat menyikat gigi. Saat plak gigi menumpuk di sepanjang garis gusi, sakit gigi bisa terjadi.
Penyakit gusi yang tidak diobati dapat berkembang menjadi periodontitis, yaitu suatu bentuk penyakit gusi yang parah. Periodontitis adalah infeksi gusi jangka panjang yang dapat memengaruhi gusi, gigi, jaringan, dan tulang rahang.
5. Abses gigi
Abses adalah kantong nanah yang terbentuk di sekitar akar gigi yang terinfeksi. Siapa pun bisa mengalaminya, dari anak-anak hingga lansia. Abses gigi dapat terjadi di akar gigi atau di gusi di sekitar gigi.
Abses gigi tidak bisa membaik dengan sendirinya. Kamu butuh bantuan dari dokter gigi atau endodontis. Bila tidak diobati, infeksi dapat menyebar ke luar rahang ke leher, kepala, atau bagian tubuh lainnya.
Dalam beberapa kasus, area di sekitar gigi terasa sakit, tetapi tidak selalu. Jika ya, biasanya rasa sakitnya tajam dan berdenyut, terutama saat menekan gigi. Nyeri mungkin menyebar ke rahang atau bagian lain dari wajah di sisi yang terdampak.
Gejala lainnya termasuk:
- Pembengkakan.
- Gusi kemerahan.
- Rasa di mulut yang tidak enak.
- Pembengkakan kelenjar getah bening.
- Kesulitan bernapas atau menelan.
- Sensitivitas terhadap suhu panas atau dingin
- Gusi bengkak.
- Bau tidak sedap saat mengunyah dengan gigi yang terdampak.
Terkadang abses menyebabkan benjolan mirip jerawat di gusi. Jika ditekan dan keluar cairan, bisa dipastikan itu adalah abses gigi dan cairan tersebut adalah nanah.
6. Impaksi gigi

Gigi mengalami impaksi ketika tidak bisa erupsi melalui garis gigi. Ini bisa terjadi sebagian atau seluruhnya, ketika tidak ada cukup ruang di mulut untuk menampungnya. Ini dapat terjadi akibat susunan gigi yang berjejal dan genetika mungkin berperan.
Impaksi gigi dapat menyebabkan:
- Ggusi merah, bengkak, dan nyeri.
- Nyeri tumpul, nyeri yang intens, atau nyeri tajam.
Gigi geraham paling mungkin terkena dampaknya. Gigi taring rahang atas juga bisa terpengaruh.
7. Temporomandibular joint (TMJ) disorder
Sendi temporomandibular menghubungkan tulang rahang ke tengkorak di setiap sisi wajah. Peradangan dan iritasi pada sendi temporomandibular dapat menyebabkan nyeri pada wajah, leher, gigi, dan persendian.
Kelainan sendi rahang atau temporomandibular joint (TMJ) disorder bisa disebabkan oleh bruksisme dan artritis di rahang.
Mengutip laman RSUP Dr. Sardjito, gejala kelainan sendi rahang dapat beragam, antara lain:
- Kesulitan dalam mengunyah.
- Sakit gigi.
- Sakit kepala.
- Sakit pada area wajah.
- Bunyi "klik" atau "crack".
- Telinga berdenging (tinitis aurium).
- Sakit pada area sendi.
- Bukaan mulut yang terbatas.
- Rahang yang mudah terkunci.
- Adanya deviasi maupun defleksi gerakan rahang.
Pengobatan sakit gigi saat bangun tidur di rumah

Ada beberapa pengobatan rumah untuk mengurangi atau menghilangkan sakit gigi ringan, termasuk yang dialami pada pagi hari. Apabila penyebabnya adalah salah satu kondisi di atas, kamu bisa melakukan ini:
- Pakai pelindung mulut pada malam hari jika kamu memiliki bruksisme atau kelainan sendi rahang. Kamu bisa membeli pelindung mulut yang dijual bebas atau minta dokter gigi membuatkan pelindung mulut yang pas dengan gigi.
- Konsumsi dekongestan yang dijual bebas pada kasus sinusitis, atau temui dokter.
- Gunakan pasta gigi yang dirancang untuk gigi sensitif jika gigi sakit saat makan atau minum sesuatu yang panas atau dingin.
- Oleskan atau tempelkan bola kapas yang dicelupkan ke dalam minyak cengkih ke gigi yang sakit beberapa kali sehari.
- Kumur dengan air garam hangat beberapa kali sehari.
- Gunakan kompres dingin di bagian luar wajah selama 15 menit, lakukan beberapa kali sehari.
- Minum obat pereda nyeri yang dijual bebas, seperti ibuprofen atau asetaminofen, untuk membantu meredakan nyeri yang tidak hilang dengan perawatan rumah lainnya.
Kapan harus ke dokter?
Gejala yang harus dinilai oleh dokter atau dokter gigi meliputi:
- Sakit gigi, sinus, atau gusi yang parah.
- Rasa sakit yang tidak merespons pengobatan atau tidak reda setelah beberapa hari.
- Pembengkakan wajah.
- Tanda-tanda infeksi gusi seperti kemerahan, bengkak, atau keluarnya nanah.
- Demam.
Gigi berlubang, impaksi gigi, abses, dan penyakit gusi harus ditangani oleh dokter gigi. Mereka dapat membantu menghentikan atau mengurangi kerusakan yang terjadi dan menurunkan risiko infeksi lebih lanjut atau kehilangan gigi.
Pilihan perawatan medis untuk sakit gigi tergantung gejalanya bisa termasuk:
- Lubang gigi yang berukuran cukup besar perlu ditambal. Gigi berlubang yang parah mungkin memerlukan perawatan gigi yang lebih ekstensif, seperti crown atau perawata saluran akar gigi.
- Gingivitis biasanya dapat ditangani dengan perawatan kebersihan mulut yang baik serta dukungan lainnya seperti pembersihan gigi secara rutin oleh dokter gigi.
- Periodontitis tahap awal dapat diobati dengan scaling dan root planning. Prosedur ini menghilangkan plak di bawah garis gusi dan menghaluskan permukaan akar gigi. Periodontitis yang parah mungkin memerlukan operasi gigi.
- Abses gigi biasanya membutuhkan pengeringan dan antibiotik untuk menghentikan infeksi. Prosedur lainnya mungkin dibutuhkan, seperti perawatan saluran akar gigi atau pencabutan gigi.
- Impaksi gigi yang menyebabkan rasa sakit umumnya membutuhkan pencabutan gigi. Prosedur ini biasanya dilakukan oleh ahli bedah mulut.
- Infeksi sinus jangka pendek (akut) mungkin paling baik diobati dengan antibiotik untuk membantu menghilangkan bakteri. Kasus sinusitis jangka panjang (kronis) mungkin memerlukan pengangkatan polip yang tumbuh di rongga hidung. Pembedahan juga dapat membantu membuka rongga sinus atau menghilangkan sumbatan yang membatasi udara yang melewati sinus.
Banyak penyebab sakit gigi ringan saat bangun tidur pada pagi hari yang dapat diatasi dengan perawatan rumahan yang sederhana. Namun, beberapa penyebab yang menyebabkan sakit gigi yang berkepanjangan atau intens mungkin memerlukan perawatan medis.
Tanda-tanda infeksi gigi, seperti nanah, demam, dan bengkak harus segera diperiksakan ke dokter gigi agar mendapat perawatan yang tepat.



















